۱۱ دی ۱۴۰۴
به روز شده در: ۱۱ دی ۱۴۰۴ - ۰۵:۳۰
کد خبر ۸۴۲۵۷۴
تاریخ انتشار: ۱۱:۱۰ - ۱۱-۰۳-۱۴۰۱
کد ۸۴۲۵۷۴
انتشار: ۱۱:۱۰ - ۱۱-۰۳-۱۴۰۱

کیست نابوتین چیست؟ آیا این کیست نشانه سرطان است؟

کیست نابوتین چیست؟ آیا این کیست نشانه سرطان است؟
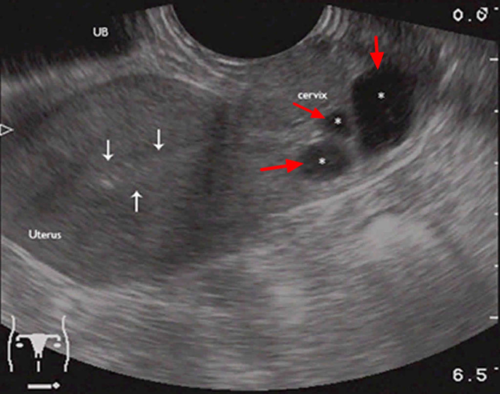
کیست های نابوتین نسبتا شایع هستند اما تهدیدی جدی برای سلامت شما یا نشانه سرطان دهانه رحم محسوب نمی‌شوند.

کیست نابوتین که کیست دهانه رحم، کیست احتباس مخاطی یا کیست اپیتلیال نیز نامیده می‌شود، کیست ریزی است که روی سطح دهانه رحم ایجاد می‌شوند. این کیست مملو از مخاطی است که توسط غدد دهانه رحم ترشح می‌شود.

کیست های نابوتین نسبتا شایع هستند اما تهدیدی جدی برای سلامت شما یا نشانه سرطان دهانه رحم محسوب نمی‌شوند.

کیست نابوتین چیست؟ آیا این کیست نشانه سرطان است؟

چه کسانی در معرض ابتلا به کیست نابوتین هستند؟

هر کسی که سرویکس (دهانه رحم) دارد می‌تواند به کیست نابوتین مبتلا شود؛ موضوعی که قابل جلوگیری نیست. با این حال احتمال بروز این کیست ها بین دوران بلوغ و یائسگی بیشتر است. برخی اتفاقات خاص زندگی نیز بر نحوه رشد سلول های پوستی داخل دهانه رحم تاثیر می‌گذارند، به‌طوری‌که احتمال مسدود شدن غدد شما و بروز کیست را افزایش می‌دهند.

بعد از بچه‌ دار شدن: بسیاری از افراد پس از بارداری و در جریان معاینات معمول متوجه می‌شوند کیست نابوتین دارند. سلول های پوستی دهانه رحم پس از زایمان سریع‌تر رشد می‌کنند. این سلول‌های جدید می‌توانند باعث انسداد غدد دهانه رحم شده و به ایجاد کیست نابوتین بیانجامند.

بعد از تجربه آسیب در دهانه رحم: سلول های پوست دهانه رحم پس از آسیب‌دیدگی در این ناحیه ناحیه افزایش پیدا می‌کنند. سلول‌های جدید به ترمیم هرگونه آسیبی که به بافت دهانه رحم شما وارد شده کمک می‌کنند. این سلول‌های پوستی می‌توانند غدد دهانه رحم را مسدود کرده و مخاط را در آن ناحیه گرفتار کنند، که این موضوع باعث شکل‌گیری کیست نابوتین می‌شود.

بعد از ملتهب یا عفونی شدن دهانه رحم: سلول‌ های پوستی دهانه رحم برای ترمیم هرگونه آسیبی که به دنبال التهاب یا عفونت ایجاد می‌شود تکثیر می‌شوند که این موضوع همان‌طور که پیش‌تر گفتیم به بروز کیست نابوتین منجر می‌شود.

عوامل خطر کیست نابوتین

اگر باردار یا در سنین باروری هستید بیشتر مستعد بروز این کیست‌ ها خواهید بود. سن باروری از بلوغ تا شروع یائسگی ادامه دارد.

همچنین در صورت ابتلا به بیماری adenoma malignum ممکن است در معرض خطر بروز کیست های مشابه باشید. این وضعیت نوعی نئوپلازی بدخیم است که بر تولید مخاط در دهانه رحم تاثیر می‌گذارد.

کیست نابوتین چیست؟ آیا این کیست نشانه سرطان است؟

علائم کیست نابوتین چیست؟

اندازه کیست های نابوتین از چند میلی‌متر تا چهار سانتیمتر متغییر است. این کیست ها صاف هستند و به زنگ سفید یا زرد ظاهر می‌شوند. اما باعث درد، ناراحتی یا علائم دیگر نمی‌شوند؛ بنابراین احتمالا پزشکتان در طول معاینات معمول لگن متوجه بروز یک یا چند کیست در دهانه رحم شما خواهد شد.

با این حال اگر کیست نابوتین پاره شود ممکن است متوجه بروز علائمی شوید. با ترکیدن کیست نابوتین مخاط و کمی خون آزاد می‌شود که ممکن است آن را ترشحات واژن تلقی کنید. این ترشح می‌تواند بدبو هم باشد.

فشار خفیف یا احساس پُری در واژن و درد قبل، حین یا بعد از مقاربت را می‌توان به عنوان علائم ابتلا به کیست نابوتین به شمار آورد.

اگر خونریزی بین قاعدگی، ترشح غیرمعمول یا درد شدید لگن دارید با پزشک خود صحبت کنید. این علائم ممکن است نشان‌دهنده عفونت یا ناهنجاری‌های دیگری باشند که نیاز به ارزیابی دارند.

درمان کیست نابوتین

کیست های نابوتین خوش خیم هستند و عموما نیاز به درمان ندارند. در موارد نادر این کیست ها ممکن است بزرگ شوند و شکل و اندازه دهانه رحم را تغییر دهند. اگر کیست نابوتین شما حاد باشد می‌تواند معاینه معمول دهانه رحم را دشوار یا غیرممکن کند. در این موارد پزشک ممکن است برداشتن کیست نابوتین را به منظور معاینه دهانه رحم توصیه کند.

برای برداشتن کیست نابوتین نیاز به جراحی نیست و در عوض با برق یا سرمادرمانی می‌توان آن را درمان کرد.

منبع: روزیاتو

پربیننده ترین پست همین یک ساعت اخیر
ارسال به دوستان
فواید استفاده از نقره برای مردان چیست؟ ۱۰ فایده باورنکردنی بهمن مفید در مراسم اهدای جوایز فیلم «قیصر»؛ سال ۴۹ (عکس) قصه‌های نان و نمک(82)/ کتابی که بعد از خودکشی باز می‌ماند ابررایانه‌ها به تازگی آشکار کردند که در نزدیکی یک سیاه‌چاله چه اتفاقی می‌افتد (+عکس) مصرف کدام مواد غذایی اسید معده را افزایش می‌دهد؟ چگونه به روش طبیعی خوش‌بو بمانیم؟ / ۱۱ توصیه کلیدی روایتی کمتر شنیده‌شده از شهید سلیمانی: تعارف شیرینی به گروهی فیلم‌برداری! مجموعه تاریخی سرابی شوشتر (عکس) نکات مهم درباره برنج قهوه‌ای و سفید که باید بدانید ذخایر نفت جهان در یک نگاه + جایگاه برتر ایران کنترل سیل با خود باران؛ وقتی قطره‌های باران برق تولید می‌کنند اکبر زنجانپور در دوران سربازی؛ دهۀ 40 (عکس) راننده قبل از تصادف چاقو خورده بود؟ قتل مرموز پس از زیرگرفتن مادر و کودک 5 کشور رکورددار فرار مغزها غیرتی شدن دروازه بان سابق استقلال در رستورانی در انگلیس/ وقتی کار به پلیس کشید