مصرف ویتامین ها باعث عملکرد بهتر بدن و پیشگیری از بروز بیماری های قلبی و عروقی می شود،در این مقاله دکتر سلام شما را با فواید سلامتی مصرف ویتامین B۱ یا همان تیامین بیشتر آشنا می کند.
خانواده ویتامین B به طور کلی شامل ویتامین B۱ (تیامین)، ویتامین B۲ (ریبوفلاوین)، ویتامین B۳ (نیکوتینیک اسید/ نیاسین / نیاسین آمید)، ویتامین B۵ (پانتوتنیک اسید)، ویتامین B۶ (پیریدوکسین)، ویتامین B۱۲ ( سیانو کوبالامین) و ویتامین B۹ ( اسید فولیک / فولاسین) هستند. با این حال، برخی از محصولات شامل تمام این مواد تشکیل دهنده نیستند و ممکن است شامل برخی دیگر از آنها مانند ویتامینB۱۰ (بیوتین)، پارا آمینوبنزوئیک اسید (PABA)، کولین بیاتارتات و inositol باشد.

تیامین چیست؟
ویتامین B۱ یا تیامین به پیشگیری از عوارض در سیستم عصبی، مغز، ماهیچه ها، قلب، معده و روده کمک می کند. این ویتامین همچنین الکترولیت ها را به داخل و خارج از سلول های عضلانی و عصبی در جریان می اندازد. تیامین کمک می کند تا از بیماری هایی مانند بری بری که شامل اختلالات قلب، اعصاب و دستگاه گوارش است، جلوگیری شود.
کاهش وزن و بی اشتهایی ممکن است در صورت عدم وجود تیامین باشد. ممکن است مشکلات ذهنی، از جمله سردرگمی و از دست دادن حافظه کوتاه مدت نیز در صورت کمبود تیامین به وجود آید. ضعف عضلانی ممکن است ایجاد شود، و علائم قلبی عروقی مثل بزرگ شدن قلب نیز ممکن است رخ دهد.
الکل باعث کمبود تیامین می شود. مصرف زیاد الکل می تواند به این معنی باشد که فرد از مواد غذایی خود تیامین را جذب نمی کند.
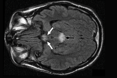
سندرم Wernicke-Korsakoff یک اختلال است که بر روی افراد مبتلا به مصرف مزمن الکل تاثیر می گذارد. این سندرم با کمبود تیامین ارتباط دارد و اگر درمان نشود، می تواند کشنده باشد. افراد مبتلا به سندرم Wernicke-Korsakoff و افرادی که الکل را ترک می کنند ممکن است بتوانند از تزریق تیامین برای کمک به بهبودی خود استفاده کنند.
سایر بیماری ها، مانند اچ آی وی نیز می توانند جذب مواد مغذی را کاهش دهند. این کمبود می تواند به کمبود ویتامین B۱ منجر شود.
ویتامین B۱ چه کاربردی دارد؟
ویتامین B۱ یا تیامین، به جلوگیری از بیماری های سیستم عصبی، مغز، ماهیچه ها، قلب، معده و روده کمک می کند. همچنین در جریان الکترولیت ها در سلول های عضلانی و عصبی درگیر است.
این ویتامین از بیماری هایی مانند بری بری که شامل اختلالات قلب، اعصاب و دستگاه گوارش است جلوگیری می کند.
کاهش وزن و بی اشتهایی ممکن است در صورت عدم وجود تیامین باشد. در اثر کمبود تیامین مشکلات ذهنی، از جمله سردرگمی و از دست دادن حافظه کوتاه مدت، ضعف ماهیچه و علائم قلبی عروقی اتفاق می افتد.
مصرف الکل باعث کمبود تیامین می شود زیرا الکل در فرآیند جذب تیامین توسط بدن اختلال ایجاد میکند.
سندرم Wernicke-Korsakoff یک اختلال است که بر افرادی که الکل زیاد می نوشند تاثیر می گذارد. این بیماری به کمبود تیامین ارتباط دارد و اگر درمان نشود، می تواند مرگبار باشد.

افراد مبتلا به سندرم Wernicke-Korsakoff و کسانی که الکل دفع می کنند ممکن است برای بهبود به تزریق تیامین روی آورند.
ویتامین B۱ یا تیامین، به جلوگیری از بیماری های سیستم عصبی، مغز، ماهیچه ها، قلب، معده و روده کمک می کند. همچنین در جریان الکترولیت ها در سلول های عضلانی و عصبی درگیر است.
این ویتامین از بیماری هایی مانند بری بری که شامل اختلالات قلب، اعصاب و دستگاه گوارش است جلوگیری می کند.
کاهش وزن و بی اشتهایی ممکن است در صورت عدم وجود تیامین باشد. در اثر کمبود تیامین مشکلات ذهنی، از جمله سردرگمی و از دست دادن حافظه کوتاه مدت، ضعف ماهیچه و علائم قلبی عروقی اتفاق می افتد.
مصرف الکل باعث کمبود تیامین می شود زیرا الکل در فرآیند جذب تیامین توسط بدن اختلال ایجاد میکند.
سندرم Wernicke-Korsakoff یک اختلال است که بر افرادی که الکل زیاد می نوشند تاثیر می گذارد. این بیماری به کمبود تیامین ارتباط دارد و اگر درمان نشود، می تواند مرگبار باشد.
افراد مبتلا به سندرم Wernicke-Korsakoff و کسانی که الکل دفع می کنند ممکن است برای بهبود به تزریق تیامین روی آورند.
میزان نیاز بدن به ویتامین B۱ در طول روز :
متخصصان میزان مصرف روزانه (RDA) تیامین خوراکی را برای آمریکایی ها ۱٫۲ میلی گرم برای مردان و ۱٫۱ میلی گرم برای زنان بالای ۱۸ سال توصیه می کنند. زنان باردار یا شیرده در هر سنی که باشند باید هر روز ۱٫۴ میلی گرم از این ویتامین مصرف کنند.
محققان مؤسسه The National Institutes of Health Office of Dietary Supplements خاطر نشان می سازند که یک وعده از غلات صبحانه غنی شده حاوی ۱٫۵ میلی گرم تیامین است که بیشتر از ۱۰۰ درصد از میزان توصیه شده روزانه را تامین می کند.
یک تکه نان کامل گندم حاوی ۰٫۱ میلی گرم یا ۷ درصد از نیاز روزانه این ویتامین است. در حالی که پنیر، مرغ و سیب حاوی تیامین نیستند.
آشنایی با منابع ویتامین B۱
تیامین به مقدار فراوان در جوانه گندم ، نان ، نخود ، لوبیا ، چاودار، برنج کامل، اسفناج ، کلم، هویج و بسیاری از سبزیها ، گردو ، بادام ، فندق ، انجیر ، جگر ، تخم مرغ ، شیر ، پنیر، و ماست در مخمر آبجو، پسته خام ،حبوبات ،سیرابی،شیردان و گوشت، دانه های گل آفتابگردان، سویا فراوان وجود دارد. افراط در خوردن مواد قندی سبب کمبود این ویتامین میشود، همچنین پوشیدن لباسهای نایلونی و پلاستیکی باعث نابودی آن میگردد.

سبوس منبع غنی ویتامین B۱ است و با گرفتن پوست غلات برای تهیه آرد سفید قسمت اعظم ,ویتامین B۱ از دست می رود . از اینرو توصیه می شود از نانهای سبوس دار مثل سنگک ، بربری و بیسکویت هایی که با آرد سبوس دار تهیه می شود استفاده کنید . اگر از جگر غذایی تهیه می کنید ، بهتر است آنرا قبل از پخت در فریزر قرار ندهید و برای پخت از حرارت بالا استفاده نکنید . بهتراست بدانید ، مصرف ماءالشعیر و یا جوانه گندم نیزمیزان زیادی ویتامین B۱ به بدن ما می رساند .
منبع: دکتر سلام